
La mesotelioma maligno es la formación de un tumor en el revestimiento del pulmón y dentro de la cavidad torácica. El tumor también se puede formar en el peritoneo o el revestimiento del abdomen.
La mesotelioma maligno tiene, desde hace décadas, se ha asociado con la exposición prolongada al amianto. Antes de la correlación entre el amianto y el mesotelioma, muchas industrias que utilizan el material en sus productos, es decir, para el aislamiento.
La amianto se utilizó también en la fabricación de vinilos para techos, cemento, y en ciertos tipos de frenos de automóviles. Por lo tanto, muchos trabajadores o trabajadores en las industrias de tal manera que estuvieron expuestos al amianto mesotelioma desarrollado en los últimos años.
1. Mesotelioma, por desgracia, no se desarrolla en circunstancias inmediatas. Para muchos de ellos con la enfermedad, los síntomas a menudo no aparecen hasta décadas más tarde, entre 20 y 50 años después de la exposición inicial al asbesto. Este hecho hará que la detección de mesotelioma más difícil, especialmente porque algunos de los síntomas en sí no va a llegar a ser exorbitante.
2. Mesotelioma lo más comúnmente causan el pecho y dolores abdominales, tos, fatiga y dificultad para respirar. Estos síntomas sólo pueden estar relacionados con otros tipos de condiciones de salud, y por lo tanto, no es raro para el mesotelioma debe pasarse por alto como causa principal.
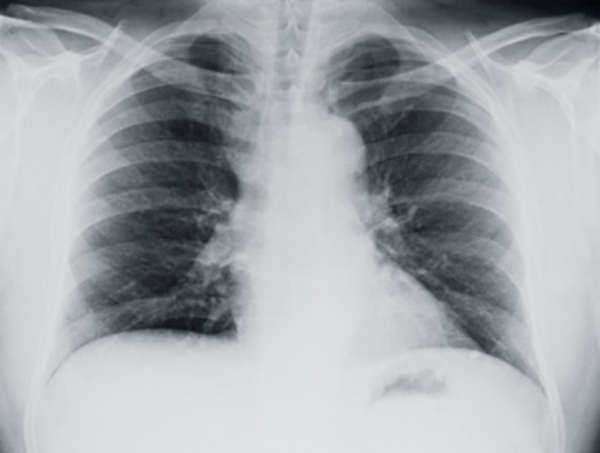
3. Mesotelioma generalmente se detecta mediante el uso de una radiografía de tórax o mediante una biopsia. El tumor se asocia a menudo con mesotelioma veces puede ser evidente a través de una radiografía, aunque no es raro que una biopsia es necesaria para determinar formalmente la presencia de mesotelioma.
4. Desafortunadamente, no existe una cura para el mesotelioma y demuestra que es una de las formas más duras y más difíciles de cáncer a tratar. Para los pacientes que no reciben tratamiento adecuado, la esperanza de vida es de no más de 9 meses. Debido al hecho de que el mesotelioma es muchas veces detectado en las últimas etapas de progresión, que resultará ser difícil de tratar.
5. La cirugía es una opción para algunos, aunque el procedimiento quirúrgico en sí no resultan eficaces. La cirugía generalmente se combina con radiación y / o quimioterapia para tratar el tumor. Sin embargo, el tratamiento para el mesotelioma suele centrarse o concentrarse en el control y la disminución de los síntomas en cuestión.
6. A día de hoy, la investigación médica no ha demostrado que se encuentran una forma sustancial o cualitativo de tratamiento para combatir efecto y curar la enfermedad. Todos los tratamientos existentes se concentrará de eliminar el tumor, aunque el resultado global resulte de disminuir sólo a los síntomas presentados.
7. Además, las opciones de tratamiento también dependerá de la paciente. Factores tales como la progresión o la etapa del tumor y la edad del paciente determinará si la cirugía es una opción viable.
8. Independientemente de las opciones presentable para el tratamiento, el mesotelioma maligno es considerado como una enfermedad mortal. La mayoría de los pacientes, al ser diagnosticado correctamente, por lo general se dará una esperanza de vida que van desde 4 a 18 meses, dependiendo de la etapa o el desarrollo del tumor del mesotelioma.
























